Cos’è il frenulo labiale?
È il corrispettivo del frenulo linguale (al di sotto della lingua) ed è una struttura fibrosa superiore o inferiore che parte dall’interno del labbro (superiore o inferiore) e si inserisce tra i due incisivi centrali (sup. e inf.).

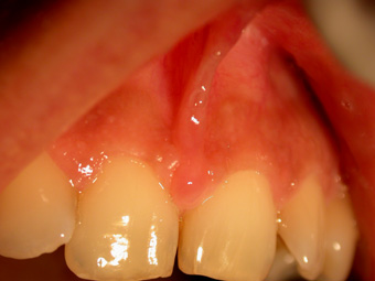
esempio di frenulo labiale

Esempio di frenulo labiale superiore che irrita la papilla palatale
Come procedere per il trattamento del frenulo labiale?
Il clinico (ortodontista e parodontologo) decide l’eliminazione del frenulo labiale per motivi diversi movimenti linguali limitati (frenulo linguale corto), recessioni gengivali conseguenti alla trazione del frenulo (più frequenti sull’arcata inferiore) oppure interposizione dell’inserzione fibrosa tra i due incisivi che rimangono separati (più frequente sull’arcata superiore). In tutti questi casi, quando c’è indicazione alla rimozione chirurgica del frenulo, abbiamo a disposizione la tecnologia laser (laser a diodi o CO2) che sostituisce il bisturi migliorando i processi di guarigione post chirurgici.

Foto scattata al termine del trattamento tramite laser

Dopo una settimana di trattamento

La ferita è completamente guarita

